Dr. Andrei MartinCHIRURGIE PLASTICA SI ESTETICA
  • Estetica
    faciala
    • Lifting fata/Lifting gat
    • Chirurgia pleoape/Blefaroplastie
    • Indepartare cearcane
    • Liftingul fruntii
    • Rinoplastia
    • Remodelarea urechii/Otoplastia
    • Remodelarea barbiei/Mentoplastia
    • Transfer de grasime
  • Estetica
    sanului
    • Marirea sanilor
    • Reductia mamara
    • Mastopexia/Ridicarea sanilor
    • Reconstructia mamara
  • Estetica
    corpului
    • Abdominoplastie
    • Lifting brate
    • Ginecomastie
    • Lipoaspiratia/Liposculptura
    • Labioplastia
    • Nevi pigmentari tumorete
    • Corectarea cicatricilor
    • Corectarea cicatricilor-inainte si dupa
  • Tratament
    nechirurgical
    • BOTOX-antirid
    • Acid hialuronic-JUVEDERM- BELOTERO
    • Tratament antirid-LASER CO2
    • Leziuni vasculare-DYE LASER
    • Cicatrici acnee - Laser cu CO2
    • Marire si remodelare buze
    • Transpiratia excesiva
    • ULTHERAPY/Stimularea colagenului natural
    • Leziuni vasculare ND-YAG
    • Epilare definitiva cu laser Alexandrite
  • Galerie
    foto
    • Marirea sanilor
    • Botox AICI
    • Blefaroplastie
    • Otoplastie
    • Reductia mamara
    • Mastopexia/Ridicarea sanilor
    • Reconstructia mamara
    • Marirea si remodelarea buzelor
    • Nevi/Tumorete cutanate
    • Liftingul fetei/Liftingul gatului
    • Remodelarea barbiei/Mentoplastia
    • Transfer de grasime
    • Indepartarea cearcanelor
    • Rinoplastie
    • Lipoaspiratie
    • Abdominoplastie
    • Acid hialuronic
    • Tratament antirid Laser CO2
    • Leziuni vasculare
    • Cicatrici acnee- Laser cu CO2
    • Lifting frunte
    • Lifting brate
    • Ultherapy
  • Intrebari
    frecvente
  • Despre
    Dr Andrei Martin
    • Dr. Andrei Martin
    • Certificari
    • Evenimente speciale
    • Articole
    • Contact

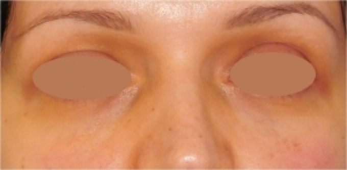
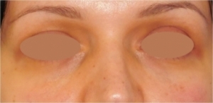
Indepartarea cearcanelor

Inainte Dupa
Inainte Dupa
‹ › ×

Contacteaza-ne

Cluj-Napoca 0731347137

Trimite
intrebarea ta

Palmares profesional

Certificari

Servicii si tarife

Lista de preturi

Video proceduri

Procedura Botox

Contact

str. Republicii nr.68, Cluj-Napoca
Tel: 0731347137
Email: andrei.martin@medispa.ro

Site-uri utile

medispa.ro
botox-cluj.ro
implante-mamare.info.ro
chirurgie-estetica.info.ro
reconstructiemamara.ro

 

Clinici

Clinica MediSpa Cluj-Napoca str. Ion Budai Deleanu nr.2A.

© 2025 Dr Andrei Martin. Managed by legal advice